开启教师视角,深入学科了解
--定向师范生初中生物教学培训
导师:张文洁 学员:顾筠炜 地点:宜兴市万石中学
8月25日
上午进行简短的培训计划介绍·自我介绍和赠书仪式后,我们跟随导师去往童心农场参观学习。
这所农场采用生态农业技术,构建“稻鸭共生”的生态模式。据经营者所述,鸭种是特定品种,专门以水稻害虫为食,但毕竟鸭属于杂食性动物,所以在水稻成熟,稻穗压枝,则需要将鸭驱离稻田,以免鸭吃稻米。书本中的抽象名词变成眼前实景,更加令人印象深刻。因为正值夏末,稻苗生长旺盛,加之稻田规模大,鸭种体型偏小,因此稻田中的水道较多但间距较小,实为稻鸭共生模式的实际落实。
参观的许多葡萄·草莓大棚中多数具有自动或手动调节光线的塑料膜升降设备,在大棚一侧还具有温度湿度的调控机制,以现代科技手段确保大棚内的植株的成活。我们见识到水泵的智能化启用,可以针对不同的天气情况进行高效补水,更具有灵活性。“以螨治螨“技术用于草莓种植的生态防虫,类似于课本中的”以虫治虫“。农场中还有植物激素调节生物生长·有机化肥的机械化生产,均是绿色生态农业的具象。

![]()

下午听导师讲座:《学习课程标准·解读核心素养》。讲座围绕课程标准的主要特点和生物学核心素养的内涵两个方面展开。强调在未来教学中注重对学生生物学基本立场的培养和动手实践能力的增强。从2011版和2022版课程标准的对比中,可以发现新版课标更加重视学生对概念性描述的掌握,强化学生深入理解知识。此外,跨学科实践的重视意味着未来对学生动手实践操作的能力的重视。新课标对于教学知识的实例·评价与考试命题更起着指导作用。讲座中导师详细讲解了生物学四大核心素养-生命观念·科学思维·探究实践·态度责任-的呈现形式及要素,解读核心素养,教予我们课程标准的初步理解方式,作为日后学习的铺垫。
8月26日
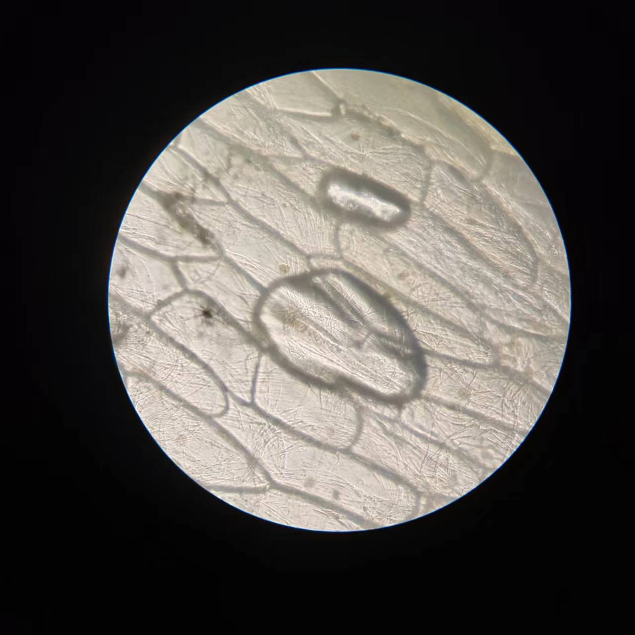
今天听《提升实验能力,迎接未来挑战》的讲座,讲座就教师实验操作能力的重要性·生物绘图·显微镜操作和制作临时装片为主要内容进行讲解。除了以往学习过的实验操作内容之外,张导师结合实际教学中学生可能出现的问题对实验内容加以充实,我们从学生视角更换至教师视角处理实验操作的注意点,学习目标逐渐从自身规范进行实验过渡到教授学生正确完成实验。在新版课标的指导下,实践教学更受重视,师范生学习实验绘图更加重要。
在实验操作的练习·考核中,我们将讲座中的理论付诸于实践,制作洋葱鳞片叶表皮细胞和人口腔上皮细胞的临时装片并观察绘图。实际上,实验操作中会发生书本理论之外的状况,如:实验器材的存放处理问题·口腔上皮细胞的获取问题·吸取染液位置不准确而导致细胞染色不充分的问题等。解决这些问题可以在日后的实际教学中提供应对策略。


在这两天时间里,我们以大一新生的身份开始对于师范教学的学习,加深了对原有生物知识的理解,加强了对课本知识的实际应用。随着以后从学生到教师的专业培训的深入,相信我们会具备一名合格生物老师的专业技能,并投入于日后的教学事业中。